相信大家對CT都很熟悉,它是一種結合了X線成像與斷層掃描技術的醫療影像設備,其主要功能是生成密度分辨率較高的人體斷層圖像,主要用于對鈣化性病灶的檢查。那你知道口腔CBCT是什么意思嗎?口腔CBCT是一類特殊的CT,其工作原理是通過X線發生器以較低的射線量發射錐形X束,圍繞投照體做環形數字式投照,將圍繞投照體多次產生的二維投射影像通過圖像重建算法獲得三維圖像。
在口腔影像等細分領域,口腔CBCT的成像質量優于CT和普放。CBCT的X線利用率更高,且生成的圖像具備很高的各項同性空間分辨率。口腔CBCT能夠針對局部斷層曲面重建生成清晰無重疊的斷層影像以及3D影像,成像效果更好,有助于醫生的診斷,對于種植、綜合診斷、正畸等牙科診斷均有較大幫助。口腔CBCT技術優勢如下:
1.應用廣泛:牙科種植、口腔頜面外科、正畸、牙體牙髓、牙周等。
2.具有高清晰度。
3.低輻射劑量。
4.視野可根據需要進行調整。
5.附帶軟件是為牙種植量身定做的,是輔助牙科種植極為出色的工具。

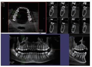
口腔CBCT設備大大提高了口腔科準確化醫療和臨床水平。以南京普愛醫療口腔CBCT為例,其肩負著臨床七大學科疾病的診斷需求:種植、正畸、牙體牙髓、牙周、顳下頜關節、頜面外科和其他,以掃描速度快、成像速度快、圖像質量高、視野大、操作軟件專業性強等優點,輔助各種臨床診斷與治療、術前檢查及針對性治療方案。普愛醫療口腔CBCT產品特點:
CMOS成像質量優
采用高端平板探測器,分辨率高、圖像質量優。
低劑量脈沖模式
采集旋轉過程中,X射線光源持續時間極短,呵護患者健康。

三維重建任意斷層
專有三維重建算法,可提供任意位置高清斷層影像。
高清口腔全景影像
通過三維容積影像,提取高清口腔全景影像。
專有圖像處理軟件
專有圖像校正技術,去除金屬偽影,提高圖像分辨率。

多平面組合重建
可同時觀察軸向面、冠狀面和矢狀面圖像,方便臨床診斷。
如果您想采購普愛醫療的口腔CBCT,歡迎聯系我們,咨詢電話400-025-6366。


