為什么用動態DR?在常規X線檢查中隱匿性肋骨骨折是難以及時發現的,需要經過一段時間或者用其他影像學方法才能發現,但這類骨折如果不能及時診斷,可能延誤治療,影響治療效果,而且會給患者帶來精神上和身體上的痛苦。動態DR大幅面透視圖像,便于觀察完整骨性胸廓、心、肺、膈肌在呼吸運動狀態下的整體狀態,有利于識別肋骨骨折部位和位置,以及骨折類型、有無合并癥等,實施快速診斷,尤其適用于急診患者的快速診療。
同時,動態DR空間分辨率高、圖像清晰、診斷準確率高、有效避免因誤診和漏診給患者帶來精神上和身體上的痛苦,同時也避免了因此而產生的醫療糾紛。
綜上所述,動態DR在肋骨骨折的診斷上具有靜態DR不可比擬的應用優勢。動態DR在胸片X線檢查上,可以實現快速、準確診斷,減少常規靜態DR在肋骨骨折中的漏診、誤診,提升臨床診斷效率和影像科的影像質控水平。
普愛醫療是一家動態DR的生產廠家,今年新推出一款全新的大視野平板動態DR產品PLX8600,它都具備哪些優勢呢?我們一起來了解一下。

PLX8600大視野平板動態DR優勢特點:
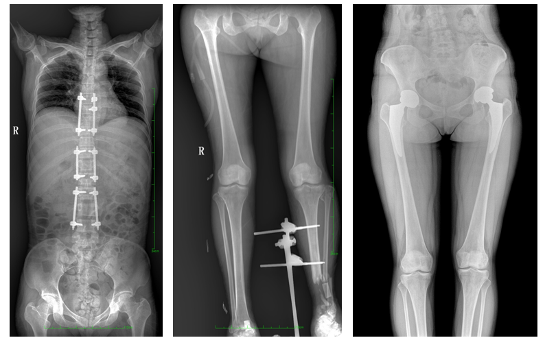
一、成像面積大。17"*34"有效視野,一次成像不拼接。相較于多張攝影再軟件拼接的DR設備,大視野平板動態DR解決了拼接圖像存在密度不均勻,拼接處圖像配準和放大效應等問題,給臨床帶來了大視野影像解決方案,可一次性覆蓋全脊柱或雙下肢影像。
二、攝影速度快。患者可以更快地完成檢查,且單次攝影輻射劑量是常規多張攝影再軟件拼接DR的1/2或1/3,低劑量給患者更多關愛。
二、消除盲拍。除常規靜態攝影外,大視野平板動態DR具備動態透視和點片功能,透視采集功能可支持大視野、多角度的可視化觀察。通過可視化的動態影像,配合點片功能,能夠很好的觀察復雜部位病灶,有效的抓取關鍵幀,降低患者多次攝片的概率,安全又高效。
如:全脊柱狀態評估、長骨關節活動度、下肢靜脈造影瓣膜功能評估、消化道功能評估、脊髓造影等更多大視野臨床應用,多面手給醫生更多驚喜。

PLX8600大視野平板動態DR可在低輻射劑量下獲得患者站立位、臥位的高質量影像。搭載自主研發的圖像均衡處理系統,能夠很好的均衡人體不同厚度組織的影像,視野大,圖像清晰,層次豐富。
在醫療機構能力建設的戰略大背景下,具備多功能診斷價值的大視野平板動態DR可以滿足醫療機構高標準的臨床需求,助力醫療機構的能力建設,并更好的為患者服務,同時可以大大提高醫護人員的工作效率,助力診療。如果您對普愛醫療PLX8600大視野平板動態DR產品感興趣的話,可咨詢:400-025-6366。


