據統計,我國每年骨折發病人數不少于500萬次,因而骨折診斷有著龐大的醫療需求。在各大醫院的急診和夜診中,因骨折前來就診的患者始終占據著很大的比例。臨床上,骨折最常見的診斷方法是X線檢查。數字DR能顯現出病灶周邊整個外部結構的改變,空間分辨率高,且價格低廉,在對骨折病灶的識別上明顯優于CT等其他影像檢查。
隨著醫療器械技術的發展,動態DR作為X線設備的新型主力軍已經逐步替代常規DR,成為各級醫療機構中的不可或缺的X線檢查設備。

普愛醫療PLX8600大視野平板動態DR,將可視化造影、大幅面多角度轉體高清透視、高清拍片、毫秒級高清點片、影像實時保存與回放、自動曝光控制(AEC)、全身拼接、圖像后處理等多重功能集于一身;擁有17"*34"有效視野,是市面大尺寸平板的2倍,一次成像不拼接,解決了拼接圖像存在密度不均勻,拼接處圖像配準和放大效應等問題,給臨床帶來了真正的大視野影像解決方案,高清畫質,準確成像不失真,輔助醫生準確診斷疾病。
大視野不拼接 一次曝光覆蓋全脊柱

全脊柱臨床影像
PLX8600大視野平板動態DR全脊柱一次成像攝片適用于兒童、成人、老年人腰椎退行性病變、強直性脊柱炎、脊柱結核等臨床應用,在此類大視野的臨床拍攝中發揮了極大的價值。
PLX8600大視野平板動態DR可在透視情況下多角度觀察病灶部位,做術前診斷及術后愈合的檢查,如脊柱斜位透視,可觀察椎弓根峽部,診斷椎體是否滑脫等情況;可在脊柱運動狀態下通過透視模式觀察全脊柱狀態,了解病變處脊柱的活動度及骨結構的關系,配合點片功能快速獲得高清的關鍵幀影像,輔助醫生制定更準確的手術方案。
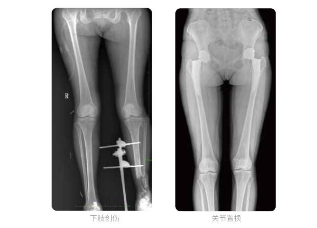
一次曝光 讓較長髓內釘細節畢現

雙下肢臨床影像
髓內釘手術是骨科、手足外科中常見的微創型手術方式,患者隨訪時需拍攝置入在股骨、肱骨處的較長髓內釘。PLX8600視野拍攝,能夠出色解決醫生需多次攝影再拼接的痛點。一次成像雙下肢,即拍即得,高效率,無需拼接。工作站軟件自帶的測量功能方便醫生讀取雙下肢長度數據,助力準確診斷。
動態DR所具備的全脊柱、全下肢全景成像技術檢查,能夠更加清晰的顯示患者病情變化情況,對骨科疾病患者的全脊柱、全下肢病變情況圖像展示更加具有完整性,對患者在自然狀態下的應力情況展示較為全面,有助于骨科疾病患者臨床診斷效果的提升,對患者臨床治療方案的科學制定有著積極的作用。
PLX8600大視野平板動態DR可以滿足各級醫療機構臨床各科室(如骨科、創傷科、脊柱正畸科、放射介入科等)對設備的多樣化需求,是疾病真正的“偵察兵”,是影像醫生真正的利器,更是基層群眾健康的堅實后盾。如果您對我公司這款動態DR產品感興趣的話,歡迎咨詢:400-025-6366。


