近年來,微創診療技術的發展以及骨科手術量的增加,C形臂采購需求量與日俱增,從以往一家醫院僅配置一臺C形臂設備,逐漸發展成今天的一個手術室配置一臺或多臺C形臂。隨著醫院與手術室中的設備量逐漸增加,手術室空間日漸擁擠,因此對占地面積小、緊湊型的移動式一體化C形臂需求也越來越大。
移動式一體化C形臂是一款什么樣的C形臂?
常規的C形臂由主機和工作站臺車構成,二者之間的信號傳輸是通過信號電纜來進行的,而移動式一體化C形臂采用了集成技術,將傳統C形臂的主機與工作站臺車合二為一。一體式設計的C形臂機架結構更加緊湊,占地面積小,僅約為一平方米,有效的節約了手術室空間。

移動式一體化C形臂優勢有哪些?
1.占用空間小,設備的占地面積約一平方米,可以適應各種擁擠復雜的手術環境,節約手術空間。
2.移動靈活輕便,推行更加自如,一人即可輕松轉移設備,完成轉場,無須多人協助。
3.具備斷電待機功能,切斷電源后設備不會關機,而是進入待機狀態,待機狀態下通電后可立即恢復正常使用,無需重新開關機,節約時間,配合一體式結構方便移動的特點,可實現設備在多個手術室間快速共享,提高設備的使用率。
4.配備大尺寸顯示器和觸控屏,醫生在設備旁即可完成曝光操作并觀察影像,便于醫生進行近臺操作。
5.無需通過線纜和工作臺車進行連接,不僅減少了因為線纜損壞帶來的維修費用和不便,也避免了醫生手術過程中因為踩踏線纜帶來的安全隱患。


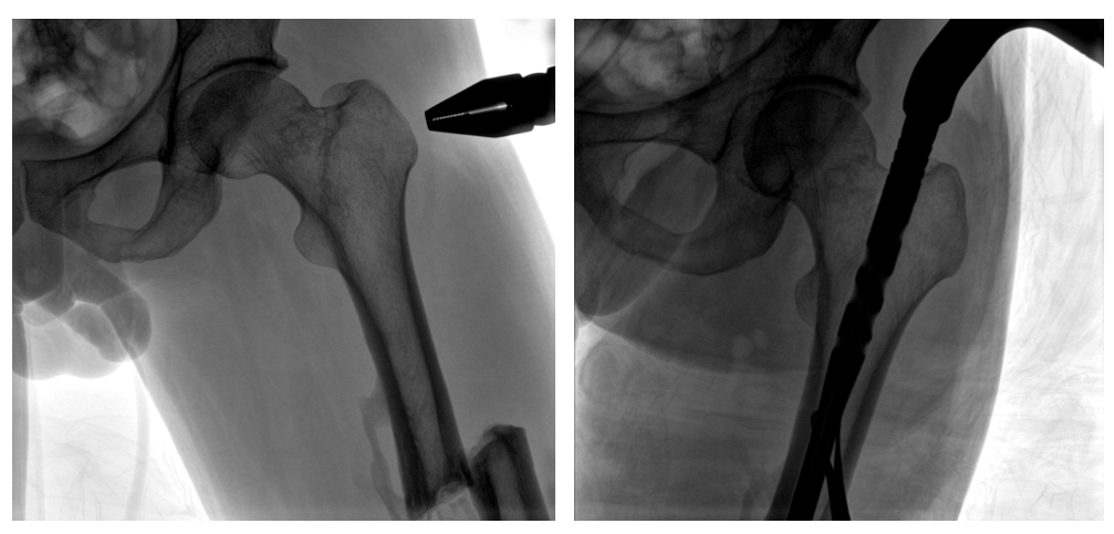
普愛醫療PLX119C大平板一體式C形臂采用30CM×30CM的平板探測器,在脊柱和長骨骨折等骨科手術治療中,獲取更大視野、更清晰的骨折部位圖像,能夠有助于醫生在術中及時了解和評估骨折部位的對位、對線情況,且能進行長度和角度測量,為進一步提高手術質量提供強有力的支持。
近年來國內移動式一體化C形臂行業迅速發展,競爭能力不斷提高,市場占有率也在持續上升。普愛醫療在C形臂領域深耕多年,擁有多項相關發明專利和成熟的技術,目前在售的產品種類較多,如果您對我公司PLX119C大平板一體式C形臂感興趣的話,歡迎來電咨詢我們。


