頑固性排尿困難,一直是橫在泌尿外科醫生及患者面前的一座大山。有些患者表現為尿頻尿急,甚至急迫性尿失禁,有些患者則表現為排尿不順暢,無法自主控制排尿,嚴重影響生活質量。近日,南醫大二附院衛中慶主任帶領其團隊在普愛醫療大平板一體式移動C形臂影像的引導下,為一位59歲的患者實施骶神經調控手術,成功的改善了患者多年來尿頻尿急的癥狀。
病例名稱:骶神經調控術
手術單位:南京醫科大學第二附屬醫院
患者年齡:59歲
患者性別:男
該患者兩年前被診斷患有膀胱過度活動癥(OAB),出現嚴重尿頻、尿急、尿細線等癥狀,醫生為其做了骶神經調控手術。近期,患者癥狀又開始加重,生活質量受到影響,為減輕癥狀,改善生活,患者前往南醫大二附院就診。衛中慶主任及其團隊在查看患者病情后,決定重新調整電極刺激位置,將刺激點由原左側骶4神經孔改為骶3神經孔,通過新的神經調節順利地改善了癥狀。
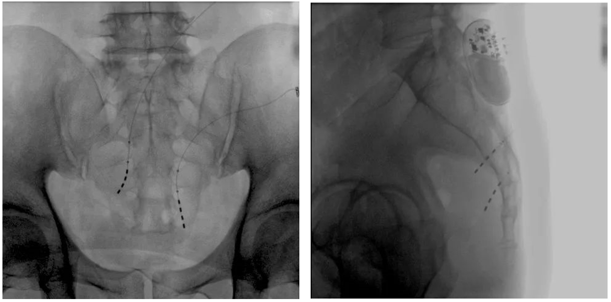
患者術前影像
大平板一體式移動C形臂術中影像
膀胱過度活動癥(OAB)
膀胱過度活動癥(OAB)指排尿時,由于膀胱逼尿肌(DO)不自主收縮所造成的一系列泌尿異常的癥狀。國際尿控協會(ICS)對OAB的定義為:尿急,通常伴有白天尿頻增加和/或夜尿,在沒有尿路感染或其他可檢測疾病的情況下,伴有尿失禁(濕尿)或無尿失禁(干尿)。
對于OAB的治療根據病因和程度不同,可以采用行為修正,比如減少咖啡因攝入、增加盆底肌訓練;可以是藥物治療,比如服用包括米拉貝隆在內的抗毒蕈堿藥類等。對于重度OAB也可以采用神經調控技術進行治療,比如經皮脛神經刺激(PTNS)或者骶神經調控(SNM)。
關于骶神經調控(SNM)
在骶神經調控術或者骶神經刺激術(SNS)中,醫師首先會在透視引導下把電極通過導針插入到骶3神經孔位置,通過脈沖電流的刺激,達到興奮神經纖維并抑制逼尿肌收縮。在這一步,醫師會先對患者的神經刺激反應做測試評估,如果刺激效果明顯,說明該方案能夠達到手術預期。接下來醫師會在附近皮下脂肪處植入一塊脈沖電流發生器并與電極相連,使該部位今后能得到長期的電刺激,改善OAB癥狀。
SNM技術是一種微創治療方式,手術時間短,患者只需接受局部麻醉。該技術目前已在超過40項研究中被證實有效。絕大部分研究表明,運用SNM可以成功改善至少50%的OAB癥狀。
普愛醫療大平板一體式移動C形臂

在SNM中的應用優勢
? 傳統9英寸的平板探測器或影像增強器C形臂,成像范圍較小,在進行導絲定位觀察時,受手術床的限制無法呈現大視野的透視圖像,需要進行多次的拍攝,降低手術的效率。而普愛醫療大平板一體式移動C形臂裝備一塊30cm x 30cm大平板探測器,超大的成像區域彌補了因擺位不便造成的拍攝困難。
? 相較于影增C形臂,平板探測器成像的畸變更少,能夠準確體現電極和骶孔位置關系,提高手術效果預期。
*本文僅供學術交流,具體病例請到專業醫療機構就診

普愛大平板一體式移動C形臂投入使用,將為骨科、疼痛科、神經外科、泌尿外科、介入血管外科、肝膽外科等專業領域手術提供可靠的影像保障,為更多手術患者保駕護航。


