
-
移動DR機日常維護要注意哪些事項呢?看這三點
移動DR機作為床旁X射線機,方便的解決了因患者不方便移動至放射科機房但需要進行拍片的問題,經常在ICU、新生兒科、住院樓等地方使用。移動DR在日常使用過程中是極易發生各類故障的,因此對DR設備的日常維護是十分重要且必要的...
發布時間:2022-05-24 13:33:33

-
普愛醫療&大博醫療丨骨盆髖臼系列微課堂開講啦!
5月26日19:30普愛醫療聯合大博醫療開展的《呼“盆”喚友 “臼”事新說》骨盆髖臼系列精品課即將開講!關注微信公眾號“骨科醫生好幫手”回復“0526”即可觀看專家直播教學哦!...
發布時間:2022-05-20 15:08:11

-
【招商資訊】2022普愛醫療線上招商會主推產品——移動DR
2022年5月13日,以“預見 視界”為主題的 “2022普愛醫療線上招商會”通過網絡形式召開。會議對普愛醫療的品牌實力、產品技術、銷售團隊、售后服務做了全面的闡述及展望,并對醫學影像產業進行了市場分析及前景預測,幫助意...
發布時間:2022-05-20 09:35:21

-
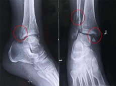
【醫療科普】踝關節骨折的主要類型及其影像學表現
大家好,我是南京醫科大學第二附屬醫院骨科副主任醫師王伯堯,從事骨科臨床工作十余年,擁有豐富的骨科臨床經驗,主要研究方向為骨科手術機器人的開發與臨床應用,今天跟大家介紹踝關節骨折的幾種常見類型及其在X影像上的表現。接下來跟...
發布時間:2022-05-19 16:58:39

-
2022普愛醫療線上合作研討會產品盤點之——平板三維C形臂
為了順應疫情防控政策,普愛醫療于5月13日舉辦了線上合作研討會,會議的主要亮點包括公司宣傳、產品推介、合作交流、客戶服務等等,當然,最受大家關注的就是產品推介環節啦!本次線上研討會,普愛醫療隆重推出幾款明星產品:平板三維...
發布時間:2022-05-19 10:01:08

-
【普愛醫療】線上招商會重磅產品:一體式移動平板C形臂
醫療器械行業更迭,瞬息萬象,如何力破重圍,制勝未來?普愛醫療著力打造“終端+經銷商+營銷+售后服務”矩陣,實現共生共贏!...
發布時間:2022-05-18 09:06:41

-
預見 視界|普愛醫療線上合作研討會圓滿收官
當前,數字化浪潮方興未艾,信息化、網絡化、數字化交織演進,萬物互聯正在影響著人們的日常生活,數字經濟也正在加速進入細分場景應用化的新時代。借助本年度新產品的陸續出新,國家政策引發的行業大轉型等契機,普愛醫療舉行普愛醫療線...
發布時間:2022-05-17 13:45:37

-
【重要通知】2022普愛線上醫療器械招商會增設分會場
醫療器械行業更迭,瞬息萬象,如何力破重圍,制勝未來?普愛醫療著力打造“終端+經銷商+營銷+售后服務”矩陣,實現共生共贏!“預見 視界”——2022普愛醫療器械招商會,于2022年5月13日15:00通過網絡形式召開。...
發布時間:2022-05-13 09:21:29

-
今日開播|2022普愛醫療線上合作研討會將增設分會場
很多關注普愛醫療的朋友們都知道,普愛醫療將在5月13日15:00-15:40,舉辦以“預見 視界”為主題的2022年普愛醫療線上合作研討會,研討會主題包括公司宣傳、產品推介、合作交流、客戶服務等。目前,線上合作研討會報名...
發布時間:2022-05-13 08:39:36

-
【醫療科普】之為什么說踝關節骨折手術復雜?
大家好,我是南京醫科大學第二附屬醫院骨科副主任醫師王伯堯,為什么說醫生遇到踝關節骨折會比較“頭痛”!接下來跟普愛醫療科普小編一起來了解下吧!...
發布時間:2022-05-12 09:09:22


